-
最新研究发现中医药延缓脑衰老新证据
日期:2022-10-27 10:30:39
近日,一项题为“八子补肾胶囊通过抑制小胶质细胞活化和细胞衰老缓解认知功能障碍”的新研究发表于英国知名期刊《药学生物学》,介绍了八子补肾胶囊可明显改善认知功能障碍,为中医药在认知功能障碍临床实践中的广泛应用提供了实验证据。
人体在衰老的过程中,大脑功能会逐渐下降,表现为记忆、学习、探索和运动协调能力等认知功能障碍。这些现象提升了老年痴呆、中风和帕金森病等神经退行性疾病的发病率。
神经退行性疾病的发病机制复杂,细胞衰老是机体衰老的标志之一,可以通过多种途径促进机体衰老,衰老的细胞以自分泌、旁分泌的方式释放炎症因子以加强衰老表型,并且衰老细胞会通过限制细胞增殖能力影响组织再生,导致组织和机体功能障碍。因此,通过清除或调节衰老细胞是防治脑衰老的重要方法。
“八子补肾胶囊通过抑制小胶质细胞活化和细胞衰老缓解认知功能障碍”研究,不仅观察到细胞衰老参与了炎症诱导的衰老小鼠认知功能障碍的发生,更重要的是,证实了八子补肾胶囊可通过减轻细胞衰老改善炎症诱导的衰老小鼠认知功能障碍。
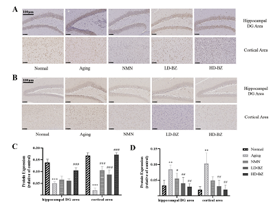
据悉,研究团队成功建立了d-gal诱导衰老小鼠模型,表现为被毛脱落、学习记忆和运动能力下降。在小鼠模型大脑的皮质和海马区域观察到神经元和尼氏小体的数量减少、结构异常,连接神经元之间突触的密度和可塑性下降,并且观察到大脑中神经炎症主要来源小胶质细胞的活化和极化。此外,在小鼠模型大脑的皮质和海马区域观察到细胞周期停滞蛋白p16INK4a上调、细胞增殖蛋白PCNA下调和衰老相关分泌表型(SASP)因子增多。
研究结果显示,连续应用八子补肾胶囊治疗60天,可有效改善d-gal诱导衰老小鼠的被毛脱落、认知功能障碍和年龄相关指标的异常。八子补肾胶囊可保护神经元损伤,减轻突触密度和可塑性下降,抑制小胶质细胞活化,阻断小胶质细胞由神经保护性表型向神经炎症性表型的极化,这些作用可能与该药减轻细胞衰老有关。
该研究为八子补肾胶囊治疗年龄相关性认知功能障碍提供了证据。目前,该团队还在开展大量关于八子补肾胶囊在防治神经系统退行性疾病方面的研究。

-
幼童贪食车厘子致肠胃炎,缓解肠炎中成药品牌有哪些成焦点
此前,据媒体报道,浙江一名两岁幼童一次性食用了约15颗车厘子,随后出现精神状态差、呼吸重等症状,就医后被确诊为急性肠胃炎,并因拉肚子导致

-
儿童用药需谨慎,急性上呼吸道感染可以吃康隆炎宁糖浆吗
今年年初,国家卫生健康委妇幼健康中心正式发布《儿童急性呼吸道感染性疾病合理用药指南》,全面披露了当前儿科用药的严峻现实,尤其是针对抗生

-
康隆小儿咳喘灵口服液效果如何?儿童呼吸道健康的精准守护者
全国流感病毒检测阳性率近期有所上升,主要由于B型流感流行导致,但流感活动强度总体上仍处于低流行水平,5~14岁病例组高于其他年龄组。呼吸道合

-
支气管炎用药全解析:治疗支气管炎哪些药物效果好?
国家卫生健康委员会呼吸疾病防治中心最新数据显示,我国每年支气管炎就诊人数超过8000万,其中37%因不规范用药导致病程延长,29%因误用抗生素产生耐
